🧬

Patau
Syndrome

Trisomy 13 — An extra chromosome that changes everything

Genetics Disorder Project
William Li
SBI3U1-05
Ms. Johnson
March 27, 2026
1 in 10,000 to 20,000
Live births affected
5–10%
Survive past first year
7 to 10 days
Median Life Expectancy
Scroll for more
1

Discovery

Dr. Klaus Patau, 1960

German-American Born 1908, Died 1975 Geneticist University of Wisconsin

Patau syndrome was first identified as a distinct chromosomal syndrome in 1960 by Dr. Klaus Patau, a German-born American geneticist, with his team at the University of Wisconsin. Patau published his landmark paper "Multiple congenital anomaly caused by an extra autosome" in The Lancet.

Although the clinical symptoms of Patau syndrome had been observed as early as 1657 by the Danish doctor Thomas Bartholin, it was Patau and his team who first provided a genetic explanation. This disorder has borne his name ever since.

In the study, Patau's team identified 47 chromosomes in a patient's bone marrow cells, instead of the normal 46. There was an extra copy of chromosome 13, forming a trisomy, which caused the distinct symptoms of the genetic disorder.

2

Signs & Symptoms

Excess genetic material carried by the extra chromosome 13 disrupts normal development, leading to extensive physical and intellectual malfunctions. However, symptoms may vary in severity depending on whether all or only some cells carry the extra chromosome. The situation where only some of the somatic cells carry the extra chromosome is known as mosaic trisomy 13.

Common symptoms of Patau syndrome include: (Most common symptoms are bolded)

Nervous System Head / Face / Vision Circulatory System Respiratory System Musculoskeletal System Other Organs and Systems
Microcephaly (small head)
Holoprosencephaly (failure of the forebarin to properly divide into two hemispheres)
Severe intellectual disability
Seizures
Neural tube defects (e.g., spina bifida, the incomplete development of a fetus' spine)
Cleft lip and/or palate
Low-set or malformed ears
Flat nose or abnormal facial shape
Scalp defects (cutis aplasia, missing layers of skin on the scalp)
Microphthalmia (small eyes)
Anophthalmia (absence of one or both eyes)
Hypotelorism (closely located eyes)
Ventricular septal defect (a hole in the septum separating two ventricles)
Atrial septal defect (a hole in the setum separating two atria)
Patent ductus arteriosus (an unclosed hole between aorta and pulmonary artery)
Dextrocardia (the heart is located on the right side of the chest instead of the left)
Hypoplasia (underdevelopment) of the lungs
Difficult gas exchange due to mixed oxygenated and deoxygenated blood
Very low birth weight and height with growth difficulties
Polydactyly (extra fingers or toes)
Clenched hands and overlapped fingers
Rocker-bottom feet (the front of the foot points up and the bottom of the foot is stiff and has no foot arch, usually curving outward like the bottom of a rocker)
Hypotonia (low muscle tone)
Underdeveloped digestive tract that makes eating difficult
Omphalocele (abdominal organs develop outside the belly)
Cryptorchidism (undescended testicles)
Bicornuate uterus (incorrectly shaped uterus)
Polycystic kidney disease (presence of cysts in the kidneys)
Infant With Patau Syndrome
Figure 1 — Infant with Patau syndrome, displaying clefted lip, flat nose, and small eyes (microphthalmia).
Hand with Patau Syndrome
Figure 2 — The hand of a patient, showing six fingers instead of normal 5 (polydactyly).
3

Chromosome Affected & Inheritance

Affected Chromosome
Chromosome 13, a medium-sized autosome. In Patau syndrome, cells carry 3 copies instead of the normal 2, resulting in 47 total chromosomes.
Types of Trisomy 13
Full Trisomy 13: ~80% of cases, all cells have one extra chromosome 13
Partial (Translocation) Trisomy 13: ~15%, part of chromosome 13 bonds to another chromosome nearby, which doesn't change the total number of chromosomes but may still cause symptoms
Mosaic Trisomy 13: ~5%, only some cells have the extra chromosome, results in milder symptoms

Mechanism of Inheritance

MOST cases are not inherited. Full trisomy 13 is caused by random errors during sperm or egg formation, mainly nondisjunction. When homologous chromosome pairs or sister chromatids of chromosome 13 fail to separate properly during meiosis, one gamete ends up with two copies of chromosome 13, and another with none. If the gamete with the extra chromosome 13 is fertilized, every cell of the resulting embryo will carry the extra chromosome.

In some rare cases, nondisjunction during mitosis after the embryo has started developing can lead to mosaic trisomy 13, where only some cells possess the extra chromosome 13.

Trisomy 13 Karyotype
Figure 3 — Karyotype (all chromosomes) of a trisomy 13 patient (male, 46=XY) compared to normal person (female, 46=XX)

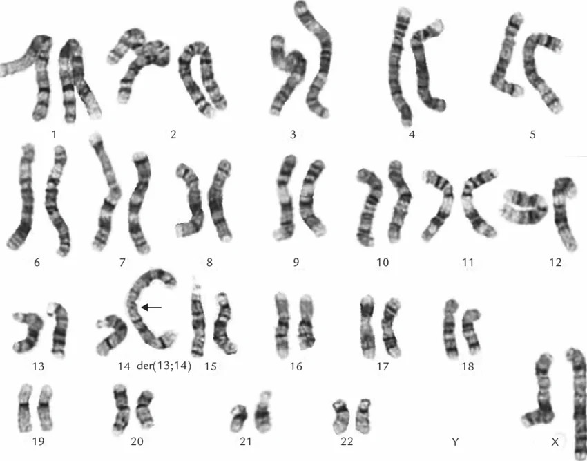
The exception is translocation trisomy 13, which can be potentially passed down from a parent who carries a balanced rearrangement between chromosome 13 and another chromosome, which shows no symptoms. During the formation of his/her gametes, the uneven separation of chromosomes may disrupt the balance and result in an affected child. However, not all translocation trisomy 13 are inherited from parents, as the translocation may also occur naturally.

Translocation Trisomy 13 Inheritance
Figure 4 — Karyotype of a translocation trisomy 13 patient (female, 46=XX), where parts of the chromosome 13 is attached to the nearby chromosome 14

Other than all those random factors, it is known that the mother's age has a strong correlation with the risk of nondisjunction errors and thus Patau syndrome. The risk will rise substantially if the mother is more than 35 years old.

Rate for Patau Syndrome Among Female Groups of Different Ages
Figure 5 — Occurance rate of Patau syndrome among female groups of different ages
4

Treatment Options

There is no cure for Patau syndrome. Treatment is considered on a case-to-case basis and focuses on managing symptoms and providing comfort to terminal individuals.

Cardiac Surgery

In some cases, heart defects may be surgically repaired to offer prolonged survival.

Cleft Lip or Palate Repair

Surgical repair of a cleft lip or palate can improve feeding and speech ability.

Other Surgeries

According to each case, other surgeries may be conducted to correct a certain physical deficit.

Seizure Management

Medications can be used to manage epileptic seizures, which affect 25–50% of surviving patients.

Respiratory and Nutritional Support

A ventilator or feeding tube may be used to help with breathing or eating difficulties.

Rehabilitation Therapy

Physical, occupational, and speech therapy can help surviving patients approach their maximum development potential.

Pain Management and Palliative Care

For many families, ensuring the comfort of the terminal patient and maintaining dignity is chosen over aggressive treatment options.

Alternative & Complementary Approaches

While no alternative medicine can treat the chromosomal abnormality itself, the following are sometimes used to support quality of life in long-surviving patients:

Music and Sensory therapy: Provide emotional stimulation and help improve responses and calm in child with severe neurological conditions.

Massage therapy: Reduce muscle tension and improve the comfort of the child.

5

Controversy: Is Patau Syndrome Truly "Lethal"?

For decades, Patau syndrome was labeled a "lethal" disorder, and most hospitals offered only palliative care. However, new pieces of evidence show that aggressive intervention, such as cardiac surgery, mechanical ventilation, and intensive care, can extend survival significantly. A Japanese study found median survival could be extended to 733 days with intensive management. However, Is prolonging life also prolonging suffering?


This controversy heavily lands on the intersection of ethics and economics. As clinical outcomes demonstrate that Patau syndrome is not strictly "lethal" in a medical sense, it becomes difficult to debate whether the goal of medicine is to prolong life to its full limit or to optimize its quality and reduce suffering. This forces us to question the extent parents should be allowed to intervene in the treatment plans of their children. Ultimately, even though aggressive intervention may offer a slight benefit for survival, the prohibitive financial costs and the potential for extended physical and mental distress are usually factors that limit the options families are willing to take.

"Trisomy 13 and 18 were for many years considered lethal disorders, and medical interventions beyond comfort measures were generally not offered. This practice has begun to change in some hospitals, but remains controversial, and a clear consensus between and even within institutions does not appear to exist" (Wilkinson et al., 2018).

In the research paper, Wilkinson and his colleagues argue that well-informed parents should be given a stronger voice in these decisions than has traditionally been the case. They suggest that the historical practice of withholding aggressive care without meaningful parental input may itself be ethically problematic. In simple words, the controversy itself is not merely about the medical statistics, but about who has the right to decide and on what basis.

6

Statistics Related to Patau Syndrome

1 in 10-20K
Occurrence rate
Each case of patau syndrome occurs in approximately 10,000 to 20,000 live births globally, making it the third most common autosomal trisomy.
90%
Die before age 1
Approximately 90% of infants with Patau syndrome do not survive their first year of life due to severe cardiac and neurological defects.
5–10%
1-year survival
Only 5–10% of affected babies survive past their first birthday. Long-term survivors are almost exclusively those with mosaic trisomy 13.
7-10 days
Median life expectancy
Median survival without intervention is just 7–10 days for live-born infants. With aggressive intervention, a Japanese study extended this to a median of 733 days.
80%
Involves cardiac disorders
Approximately 80% of all Patau syndrome infants are born with a congenital heart defect, most commonly ventricular septal defect or patent ductus arteriosus.
25-50%
Affected by epilepsy
Epilepsy affects an estimated 25–50% of children with Patau syndrome who survive beyond infancy.
📚

References